詳情
新生兒(er) 顱腦超聲是通過患兒(er) 尚未閉合的囟門對顱內(nei) 結構及病變進行檢查及診斷,並進行預後評估,與(yu) CT、MR等成像技術構成互補關(guan) 係,但它有著更強的實用價(jia) 值,可床旁檢查,而且無需特殊準備、無創、無輻射、無痛苦,絕對稱的上為(wei) 綠色檢查。
目前,我院超聲科配有新生兒(er) 顱腦專(zhuan) 用探頭,圖像清晰,如需進行此項檢查,請谘詢0317-3275278。
新生兒(er) 顱腦超聲
可以診斷哪些疾病呢?
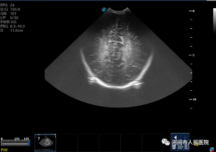
▲正常圖像
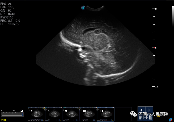
▲新生兒(er) 室管膜下囊腫
▲新生兒(er) 腦室內(nei) 出血
▲新生兒(er) 缺血缺氧性腦病
▲新生兒(er) 腦積水
掃二維碼用手機看
下一個:
【河醫新技術】黑質超聲幫您來辨“帕”
下一個:
【河醫新技術】黑質超聲幫您來辨“帕”

掃描關(guan) 注公眾(zhong) 號
地址:河北省河間市城垣東路27號 谘詢電話:0317-3275700 Copyright 雷竞技入口 網站建設: